期刊详情
查看往期
期刊目录
2021年03期
卷首 |
防治虚劳要注重“六节”
中国传统养生格言 虚劳之人,其性情多有偏重之处,每不能撙节其精神,故须各就性情所失以为治,其在荡而不收者,宜节嗜欲以养精;在滞而不化者,宜节烦恼以养神;在激而不平者,宜节忿怒以养肝;在躁而不静者,宜节辛勤以养力;在琐屑而不坦夷者,宜节思虑以养心;在慈悲而不解脱者,宜节悲哀以养肺。 明·汪绮石《理虚元鉴·知节》 (图/杜会斌) 在中国传统养生思想中,节啬是一个很重要的原则。节啬的思想最早
本期热点 |
认识间质性肺炎
随着国内教育水平的提高以及互联网的普及,许多呼吸系统疾病,例如普通感冒、急/慢性支气管炎、肺气肿、肺炎、肺癌等,均已众所周知、耳熟能详。然而,公众对于近年来发病率逐渐增加的间质性肺炎(约占呼吸系统疾病就诊患者总数的15%)仍不甚了解,从而影响疾病治疗的依从性以及预防与管理。 什么是间质性肺炎 人体肺组织由实质和间质两部分组成。肺实质即肺内支气管的各级分支及其终末的肺泡结构,与空气直接接触。肺间
本期热点 |
间质性肺炎的检查和治疗
气喘很痛苦,犹如溺水 正常的肺形象地讲,正常肺组织像是一个大海绵,肺泡就像海绵里众多细小的泡泡,每个泡泡都大致均匀大小,泡泡之间由于有周围结缔组织的固定而不能随意摆动,保证了呼吸的同步和效率。正常时,泡泡周围的结缔组织中有一些如钢筋混凝土中钢筋的纤维丝,即胶原纤维。这些“纤维丝”纤细轻薄,不会妨碍吸进来的空气中氧气弥散进入泡泡周围的血管里;同时保持了肺的弹性,肺脏不但可以自由的收缩呼出气体,还可
本期热点 |
间质性肺病的预防
弥漫性肺疾病(即间质性肺病)大部分病因不明,已知原因的病种病因也不尽相同,所以预防较为困难,总体来说有如下一些。 1.避免环境暴露。有些有机或无机粉尘会引起间质性改变,如暴露于某些金属粉尘(黄铜、铅及钢铁)和木质粉尘(松木)者患间质性肺病风险显著增加。其他粉尘暴露,如理发业、鸟类饲养、石材切割和抛光等,也会引起间质性肺病。加强职业保护,接触粉尘类作业者应采取措施尽量减少工作环境中的粉尘含量,
本期热点 |
间质性肺炎的康复和生活调理
间质性肺炎患者的康复治疗 康复治疗是间质性肺炎(ILD)尤其是肺纤维化患者治疗的重要组成部分。间质性肺炎患者主要的临床表现包括进行性加重的劳力性呼吸困难,疲劳和活动耐量的下降,伴随生活质量下降。运动不耐受是ILD的一个主要表现,如果合并肺动脉高压、骨骼肌功能障碍和运动诱发低氧血症,将使情况进一步恶化。近年来,呼吸康复治疗已经逐渐成为ILD患者综合治疗措施的重要组成部分。许多的临床研究数据表明呼吸
家庭篇 |
严防乳腺癌,让生命延续美丽
作者按 近年来,我国乳腺癌的发病率持续上升,年增长速度达到4.5%以上,高出全球平均水平2%,严重危害女性身心健康。目前,欧美发达国家已开展乳腺癌全面筛查,早诊率达70%以上。而我国女性朋友每年做乳腺癌检查的人数不足5%,并且30%的女性不知道如何自我检查乳腺癌,对乳腺癌的病因、症状表现以及预防都不是十分了解。 何为乳腺癌 乳腺癌是一种恶性肿瘤,病变位置在乳腺腺上皮组织。99%的乳腺癌患者为
家庭篇 |
卫生巾:经期卫生的关键因素之一
从第一次来月经开始,卫生巾就成为女性人生中最亲密的“伴侣”之一。按一般月经初潮与更年期计算,每个女人一生中至少有40年以上的时间要跟卫生巾打交道;然而,未必每个人都具备正确的月经期卫生知识,甚至在月经期间成为感染高风险群而不自知。 卫生巾是决定经期卫生的关键因素之一。健康女性除了做好各种妇科保养,更要注意别让卫生巾成为繁殖细菌的“温床”。 这些误区必须纠正 卫生巾湿透才更换 月经期间一定要记
家庭篇 |
三问子宫肌瘤
一问:哪些症状提示子宫肌瘤 下腹部或腰背部出现明显疼痛 女性发现自己下腹部或者腰背部出现明显的疼痛,但是这种疼痛又不呈周期性,只是隐隐作痛,就有可能是子宫肌瘤所引发的疼痛。此时,女性可以摸摸自己的肚子里是否有明显的肿块。建议在早上醒来时,空腹平躺在床上,将双膝盖稍稍弯曲,使自己的腹部保持较为放松的状态,然后用双手在下腹部进行轻轻地按压。按压时需要由浅到深慢慢进行。这种操作能够发现子宫内较大的肿瘤
家庭篇 |
腮腺炎高发重预防
别把腮腺炎误当感冒 腮腺炎一年四季均可发病,流行性腮腺炎往往出现两个流行高峰,4月至7月为第一个流行高峰,10月至次年1月为第二个流行高峰。腮腺炎主要通过空气中的飞沫传播,感染者多为10岁以下儿童,因此,有宝宝的家庭一定要注意。 腮腺炎属于病毒性感染,通常具有自愈性。但是家长朋友们千万不要忽视,因为腮腺炎不只是危害腮腺本身,还可能引发脑膜炎、睾丸炎和急性胰腺炎等严重并发症。如果明确宝宝患了腮腺
家庭篇 |
悉心养护小儿肺
从普通的感冒病毒,到曾经兴风作浪的“非典”病毒,时下正在肆虐的新冠病毒,无不把觊觎的目光投向人体的两肺。小宝贝尚处在生长与发育的进程中,其肺稚嫩,功能孱弱,更容易遭受病毒之害。建议父母抓住以下细节,悉心养护小儿的肺。 呼吸新鲜空气 确保小宝贝呼吸新鲜洁净的空气,远离臭氧、甲醛、一氧化碳或煤气等污浊气体。如室内安装空气净化器;每天定时不少于3次开窗通风,每次半小时;家人不要抽烟;尽量不带宝宝去
家庭篇 |
儿童咳嗽久治不愈警惕咳嗽变异性哮喘
近年来由于全球空气污染以及生态环境的恶化,儿童支气管哮喘的发病率增长明显。根据临床表现,哮喘可分为典型、不典型和特殊型三类。其中咳嗽变异型哮喘就是最常见的一种不典型哮喘,在临床上常被误诊为支气管炎、反复上呼吸道感染、气管异物、肺结核等病,以致延误小儿哮喘的早期诊断和治疗。 咳嗽变异型哮喘是一种气道过敏性慢性炎症。它可导致气道高反应性,当接触多种刺激因素,如冷空气、吸烟、油烟或吸入一些羽毛屑、灰尘
家庭篇 |
老年高血压如何治疗
老年高血压特点 由于老年高血压患者并发症较多,如血脂高、血糖高等危险因素,无形中增加了治疗难度。老年患者随着年龄增长,还会引发脉硬化、诸多脏器官功能衰退的情况。倘若患者血压居高不下,容易突发心梗、脑卒中、心衰等心脑血管病症。 大多数老年高血压患者以单纯收缩期血压增高为主,患者动脉硬化程度较高,血管弹性较差,心脏在射血过程中缺乏动力。倘若老年患者血压波动较大,则会出现直立性低血压。直立性低血压症
家庭篇 |
青光眼的治疗与保养
目前,青光眼已经成为危害人身体健康的一大疾病。引发该疾病的原因有很多,通俗来讲,就是由于各种原因引起房水循环障碍,进而使眼压增高所致。当然,其他因素也会导致青光眼的出现,如眼球局部发生变异,或者是由年龄、家族史以及糖尿病等各类原因所引发。 青光眼在临床上可分为原发性急性闭角型青光眼、慢性闭角型青光眼和原发性开角型青光眼、继发性青光眼、先天性青光眼等不同类型,因而其临床症状各异。如急性闭眼型青光眼
家庭篇 |
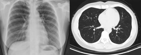
肺部结节做胸部平扫CT还是增强CT
肺小结节诊疗过程常遇到4种胸部平扫CT 1.常规CT平扫。常规CT平扫是目前临床应用最广泛的CT平扫,对设备的要求低,绝大多数基层医院都有配备,价格也最便宜,一般体检所做的胸部CT即是这种。普通CT平扫的层距通常为8~10毫米,故扫描速度也比较快,多应用于急诊。设备的新旧决定了图像的清晰程度,较先进的设备可以发现肺部小结节,不过由于其过宽的层距,很有可能会将肺小结节漏诊,特别是小于10毫米的结节
家庭篇 |
请重视老年男性骨质疏松
骨质疏松症是一种增龄性退化性疾病,随着年龄增大越来越多。以往,人们关注更多的是女性骨质疏松,其实,男性骨质疏松症随着年龄增大也在逐渐增加。研究证明,老年男性骨密度每年约降低1%,50岁以上男性约20%会发生骨质疏松性骨折。 导致骨质疏松发生的危险因素很多,如年龄、吸烟、饮酒、缺乏体力活动等。目前认为,老年男性体内的雄激素降低是发生骨质疏松的最主要原因。睾酮是老年男性体内最主要的雄激素,主要与性激
医疗篇 |
感染腺病毒如何治疗
如何知道感染了腺病毒 目前发现的腺病毒有100多个型别,引起的疾病也不一样。一般来说,腺病毒感染的潜伏期为4~5天,成人和儿童的临床表现不同。 成人临床表现 1.流行性角膜结膜炎。一般来说8、19型腺病毒可引起此病流行,其他型只是散发病例。潜伏期较长,一般为3~24天。早期病症并不明显,多累及双眼,表现为眼刺激症状和分泌物增多,可持续1~4周;角膜损伤可持续数月,少见失明。易在家庭内传播,可
医疗篇 |
消化内镜手术及常见并发症防治
内镜下消化道息肉切除术常见并发症的防治措施 出血 是内镜下消化道息肉切除术较为常见的一种症状,其防治措施主要有以下几点。 1.手术前需要对患者的病史进行询问,并与其签订知情同意书;要对术中所需器械进行仔细校试;要做好手术患者的心理工作,增强其手术治愈信心,促使其积极配合手术。同时主刀医生和助手之间也要有密切的配合。 2.在手术过程中,视野要保持清楚;在使用圈套器的过程中,收紧要缓慢,用力要
医疗篇 |
认识不典型心肌梗死
心肌梗死是由于给心脏供血的冠状动脉发生栓塞或痉挛,部分心肌出现严重而持久的急性缺血所致。典型的心肌梗死表现为心前区、胸骨后剧烈疼痛。但有些心肌梗死却表现为其他部位的疼痛,极易误诊而延误救治时机。如有的表现为上腹痛,易误诊为胃穿孔、急性胰腺炎;有的表现为牙痛、咽痛,易误诊为三叉神经痛、咽炎等:有的表现为背痛、腿痛,易误诊为风湿病;等。 心肌梗死疼痛为什么是异位发生呢?现代医学研究发现,分布于心肌上
医疗篇 |
长期服用降压药有没有害处
经常有患者说,降压药用得越晚越好,能不用就尽量不用。所以,一些患者就不敢用药,怕用上之后甩不掉,产生药物依赖。主要原因是有些患者认为降压药对人体有伤害。到底是不是这样?长期服用降压药到底有没有坏处?对人体有没有伤害? 高血压病的药物降压治疗,对预防和控制心脑血管并发症具有积极而重要的意义。但长期服用这些药物,会不会反过来危害我们的心、脑、肾,伤肝、伤。肾呢?其实目前在临床上使用的降压药,在安全性
医疗篇 |
警惕药物引起的水肿
(图/木易) 硝苯地平是第一代钙拮抗剂,为20世纪80年代中后期世界最畅销的药物之一。该药降压作用起效快,价格方面也有优势,是抗高血压、防治心绞痛临床常用药物。但是硝苯地平的不良反应发生率较高,主要表现为头晕、头痛、发热感、面潮红、脚踝水肿等。不过,由于硝苯地平不良反应的个体差异很大,大部分人感觉轻微,可以忍受。不良反应一般在用药后1周左右出现,以后逐渐消退,一般不良反应发生后不需停药。但有些人
医疗篇 |
服用降血脂药物有些细节莫忽视
生活中,许多中老年人检查有高血脂、动脉粥样硬化,医生通常会建议服用他汀类药物调节血脂,预防心脑血管疾病。 体检发现血脂(包括总胆固醇、甘油三酯、高密度脂蛋白胆固醇和低密度脂蛋白胆固醇)超标,很多人不以为然,觉得无关痛痒。但千万不能忽视这些数值,血脂超标意味着你患心脑血管病的风险加大。尤其是低密度脂蛋白胆固醇,是冠心病和缺血性脑卒中的独立危险因素之一,被人们称为“坏胆固醇”。大量的科学研究已经
医疗篇 |
“糖驾”不亚于“酒驾”
糖尿病视网膜病变是糖尿病常见的一种并发症,简称“糖网”。据统计,50%糖尿病人病程在10年左右可出现视网膜病变,病情越重,年龄越大,出现病变的概率越高。由于早期症状并不明显,不少患者掉以轻心,但长时间看屏幕、熬夜、开长途车等用眼疲劳,无异于雪上加霜,很容易出现视力减退甚至一过性失明。 随着汽车的普及,糖尿病患者的驾车问题逐步引起人们的关注,这也是继酒驾、安全带问题之后的又一交通安全热点问题。
医疗篇 |
糖尿病患者外科手术注意事项
糖尿病围术期的风险 糖尿病病人在进行外科手术治疗时,手术应激会使患者的血糖急剧上升,导致术后管理难度增加,甚至增加死亡概率。此外,高血糖还容易造成感染,使伤口不容易愈合。糖尿病围术期的风险主要表现在以下几个方面。 心血管系统 糖尿病会引起严重的心血管疾病,如高血压、糖尿病心肌病变、糖尿病自主神经病变、糖尿病冠心病等。这些并发症会导致围术期病人的血液循环不稳定。如果病人的血压突然升高、降低,或出
医疗篇 |
手足口病预防控制措施
手足口病的形成原因以及临床表现 导致手足口病发生的致病菌为肠道病毒71型及柯萨奇病毒A16型。其传播方式为密切接触手足口病患儿。如果健康儿童不小心接触到被患儿污染过的玩具、手巾、衣物等,极有可能引发感染。另外,手足口病也会经过呼吸道飞沫实现传染。健康小儿在食用或者饮用被污染的食物和水以后,也有可能发生手足口病。 手足口病主要包含重症型及普通型两类。普通型手足口病患儿会出现口腔疼痛、厌食、体
医疗篇 |
日常小伤口:您会处理吗
在生活中,我们有时候难免会使自己受伤,出现一些小伤口,比如擦伤、扎伤、撞伤等等。这时你会怎么做的呢?你知道吗,小伤口处理不当,有时候也会导致大祸。 在酒店厨房工作的于师傅中午烧菜,处理鱼时不小心被鱼鳍扎破了无名指。由于伤口小,他并没有太在意。谁知第二天伤处疼痛,里面嚯嚯地跳。但酒店里连着几天有婚宴,没时间去医院。忙完后于师傅的手指发炎、发红.赶到医院就诊。医生检查说,于师傅已经有骨髓炎的症状.也
医疗篇 |
毛巾操解冻五十肩
“五十肩”是一种大家经常听到的病症,但它并不是正式的学名,医学名称为“肩关节周围炎”,简称肩周炎。无论什么年龄层的人士都有可能患上,只是其症状常出现于50岁左右,所以俗称五十肩。 从病理学上讲,五十肩未有明确的病因。但临床上发现,姿势不良如经常低头、颈椎前移、肩膀前倾等,又或本身患有糖尿病,肩周炎的风险亦会较高。另外,如果肩部肌腱发炎,扩展到肩关节周围,也会成为肩周炎的诱因。事实上,肩周炎是指肩
医疗篇 |
泡脚掌握“三不”“两度”
饭后不宜马上泡脚 饭后泡脚是很多人的选择,但由于饭后胃部的消化需要供血,泡脚会将血液引流到身体其他部位。为了避免导致消化不良,建议饭后一个小时再泡脚。 泡脚不要看书、看电视 泡脚时看看电视、看看书报十分惬意,但这是不好的习惯。看书、看电视时需要集中精力,脑部要集中供血,脚部对温度感知也较差,建议泡脚时听一些轻音乐,可放松身心。 泡完脚不要马上睡觉 睡前泡脚也是很多人的选择,泡完脚后我们都会认为
健康博览 |
加强血糖控制可改善2型糖尿病患者的大脑健康等
加强血糖控制可改善2型糖尿病患者的大脑健康 美国彭宁顿生物医学研究中心研究人员一项新的研究显示.对超重的2型糖尿病患者来说,如果能控制住血糖水平,就能提高这些患者的清晰思考、学习和记忆能力。 研究人员表示,正确控制血糖可以避免糖尿病对大脑的不良影响。肥胖者不要认为只要减轻一些体重,大脑中的一切就会变好。大脑可能已经转过了一个弯道,无法扭转。 这项研究有近1100名参与者。研究人员每年邀请一组
健康博览 |
笑话·漫画·言论
笑话 不忍下手 今天帮老妈收拾屋子,结果在床底夹缝处发现了一个信封,里面零零散散地装着200多块钱。我马上对老妈说:“快看!老爸的私房钱被我找到了!”老妈淡定地接过信封,放回夹缝里,说:“你爸这点钱都攒20年了,每次收拾屋子,我都打开看一眼,实在不忍心下手……” 不想写作业 儿子:“爸爸,我不想写作业。” 爸爸:“我给你讲个故事吧。美国和苏联进行空间竞赛,双方都遇到了一个问题,如何在无重
生活篇 |
要防“春捂”成“蠢”捂
俗话说“春捂秋冻”。春捂怎么“捂”,一直是个笼统的概念。“二月休把棉衣撇,三月还有梨花雪”;“吃了端午粽,再把棉衣送”,算是最明确的时间概念。而这对于养生保健,却远远不够。“春捂”是提醒人们要注意春天的寒冷,要多备件衣服,中午热了脱下,早晚凉了穿上,随着时间、天气变化来调整。但是,鞋子是不能随意换的。春捂,关键是捂在脚上。 中医讲究天人相应,调理身体要根据自身体质,依据外界气候、天气的变化,随时
生活篇 |
洗漱和洗澡的水温关乎健康
我国许多地方都流传着这样的民间谚语:“冷水洗脸,美容保健”;“温水刷牙,牙齿喜欢”;“热水洗脚,如吃补药”。应该说,这些谚语都是有一定科学道理的。 很多人都有这样的体会,早晨起床或午休之后,用冷水浸过的毛巾湿润脸部,顿时就有一种头清眼明的感觉,精神也为之振奋。在冷水洗脸的过程中,冷水的刺激既可改善面部的血液循环,又可改善皮肤组织的营养结构,增强皮肤的弹性,消除或减轻面部皱纹。可见,冷水洗脸不仅利
生活篇 |
坚持有氧运动健康效益多
中国居民膳食指南第六条提出:“食不过量,天天运动,保持健康体重。”指出进食量和运动是保持健康体重的两个决定因素。食物提供能量,运动消耗能量。应保持进食量和运动量的平衡,使摄入各种食物所提供的能量能满足身体需要,而又不造成过剩,使体重维持在适宜范围,患各种疾病的危险性小于消瘦者或超重和肥胖者。 与成年人健康有关的运动形式分有氧运动、肌肉力量训练和关节柔韧练习等。其中有氧运动的全称叫有氧代谢运动,是
生活篇 |
刷牙的10大误区你中招了几个
刷牙绝对是一个技术活儿,不是随便刷几下就行的。错误的刷牙方式能够让牙齿遭受伤害,使牙齿不再坚硬并出现蛀牙。呵护牙齿健康,就要讲究科学刷牙,走出日常刷牙的误区。 误区1:牙刷个头太大 很多人觉得大头牙刷刷起来比较快速,而且省事。其实牙刷头太大了,很难灵活清洁口腔各个角落,所以最好选用合适大小的刷头,才能把牙刷到位。 误区2:硬毛牙刷好 硬毛牙刷很容易伤害牙齿表层的珐琅质,稍不留神还会损伤牙龈,所
生活篇 |
不要乱吃醋
日常生活中,食用醋是人们膳食中最普遍的调味品之一,醋的功效与作用对人体健康有很大的帮助。经常食醋能使人的胃液增加,食欲增强,消化加速,从而提高机体的抗病能力。不过,这里提醒大家,日常吃醋也要注意禁忌。醋犹药也,生活中吃醋有四大禁忌。 1.服用“解表发汗”的中药时不宜吃醋。醋有收敛之性,祖国医学认为,醋能收敛。当解表发汗的中药如复方银翘之类的药物进入人体后.促进人体汗孔打开,发汗排毒。但如吃醋,就
生活篇 |
食肉首选鱼
鱼类味鲜肉嫩,不仅易于消化吸收,其含有的多不饱和脂肪酸还可降血脂、健脑补脑。冬春季节是不少鱼类的繁殖前期,此时的鱼更加肥美,应该常吃。 带鱼 带鱼刺少肉嫩、营养丰富,是老少皆宜的一种鱼类。我们平时吃的白带鱼主要产自我国东部沿海一带,也叫刀鱼或白鱼,以舟山最为出名。冬季是带鱼最为肥美的时节。因为入冬以后,带鱼会自北向南进行洄游越冬,形成鱼汛。这时的带鱼油脂丰富、鱼身肥厚、口感细腻,是必不可少的冬季
生活篇 |
“盐”多必失应成为健康常识
当你从货架上拿起一包零食,要如何判断它是否健康?能量、脂肪还是含糖量?或许鲜少有人会关注到经常排在营养成分表最后一项的指标——钠,以及它背后所代表的盐。盐摄入过量会加重。肾脏负担,还会引发肥胖和高血压等一系列疾病。不过,在食品行业纷纷做起减法之时,“低盐”也慢慢走进了大家的视野。 中国有个成语叫“言多必失”。在人们一日三餐的日常生活中,同样有个“祸从口入”的不良饮食习惯,那就是对“盐”的过分青睐
生活篇 |
“醉茶”是怎么回事
以为是低血糖,竟然是茶没喝好 50岁的郑先生是一名糖尿病患者,虽然已经有10余年的病史,但其血糖控制得不错,病情一直较平稳。郑先生平时喜爱喝茶.但均饮用乌龙、普洱等发酵或半发酵茶。前段时间,一个朋友给他送来一些新采摘的绿茶,并称这茶如何如何好喝。郑先生一听,迫不及待地约上老友一起品味.果然清香怡人。于是每天晚上他都约朋友一边聊天,一边泡上几壶茶细细品味。起初一切正常,可喝了一周的新茶之后,郑先生
生活篇 |
生气伤害大情绪须控制
发表在《欧洲心脏杂志》上的一项研究表明,在愤怒情绪爆发后的两小时,脑卒中(中风)的风险会增加3倍,心脏病突发风险则会增加5倍,已有心脑血管疾病突发史的人,风险更高。其实,生气会引起交感神经兴奋,血压升高,心率加快,加重心脑负担,往往容易突发心脑血管意外事件。不少心脑血管疾病都受情绪因素影响,比如临床上冠心病病人生气后,容易胸闷胸痛;高血压病人大怒后,容易面红耳赤,出现剧烈头痛。这都是生气对身体产生
生活篇 |
浅谈老年性痴呆的诊断
老年性痴呆诊断的主要依据 1.病史。临床表现和病史是诊断老年性痴呆最重要、最可靠的依据。老年性痴呆最早、最突出的症状是记忆障碍。近事遗忘、不寻常的做事重复、学习新事物困难,被认为是老年性痴呆特征性的首发临床表现;而情景记忆障碍被认为是老年性痴呆最早的症状标记。这些症状都可以在询问病史中发现。 2.神经心理评估。国内外广泛应用的筛查量表有简易智力状况量表(MMSE)、日常生活能力评估量表(ADL
生活篇 |
颈部美容三步骤
每个女人都知道,面部保养是一件很重要的事,然而脖子对女人也很重要。即便再年轻的女人,如果光照顾面子而忽略了脖子的护理和保健,脖颈“老化”的现象依然会毫不留情地昭告天下你有多少岁。 女人美颈有两种方法。一是去专业美容院,全部交给美容师:二是在家自己动手。在家做颈部美容,可按以下3个步骤操作。 1.做颈部操。在家练颈部操简单而方便,花上几分钟时间,就可以轻轻松松地美化颈部,使皮肤富有弹性。同时,对
生活篇 |
“整骨瘦脸”不靠谱
“不仅能修正仪态改变驼背的状况,还被赋予瘦脸的作用。”最近有关整骨的话题频上热搜,不开刀、不出血,徒手就能矫正面部移位,能解决大小脸、左右不对称的情况,缩小骨头间的缝隙.瘦脸缩下巴的效果立竿见影。如此宣传的“神奇之术”,是噱头还是真有奇效? 用“整骨度脸”宣扬的理论来说,人的头颅是由23块骨头组成的。随着年龄的增长,骨骼和骨骼间的缝隙不断增大,导致左右脸不对称,产生脸部歪斜、大小脸等。“整骨度脸
生活篇 |
孕期“啪啪啪”不简单
“其实,对大多数女性来说,只要没有异常的情况,怀孕期间的性交是安全的。”福建省医学会妇产科学分会委员何春妮主任医师提醒说,但在性生活时也要注意动作要轻柔。当然,同房次数要有所节制,毕竟存在一些风险。孕早期可选用常规体位,到孕晚期随着孕妇的肚子逐渐变大,不能再用传统的男上女下位,可以试试女上男下位、侧身背入位等姿势,切记避免女性平卧位,以免增大的子宫会压迫大血管,胎儿出现缺血缺氧等。 以前的观点认
生活篇 |
人老性爱常有身心兼养寿长
传统观念认为,人到老年,应当收摄心神,淡泊寡欲,因而不应当再有性欲望。很多人都把老年男女间的性活动看成粗鄙的、放纵的,甚至认为是“老不正经”。他们好像不相信老年人还有“性”趣。这是违背客观事实的。 从生理角度讲,适度的性爱可以扩张动脉血管,促进血液循环;活动筋骨,使肌肉和关节富有弹性。美国心理学家研究发现,有性功能的老年人如果长期压抑自己的性欲望,可使身体免疫功能降低,造成某些病态,出现焦虑
养生篇 |
金元名医李东垣的“两气”养生论
李东垣(1180~1251),金代著名医学家,名李杲,字明之,晚年自号东垣老人,真定(今河北正定县)人。被后世称为“补脾派”的创始人,金元四大家之一。 李东垣少年习儒,后学医于易水张元素。晚年著书立说,主要著作有《脾胃论》《内外伤辨惑论》等。他认为,“元气”是决定人体健康与否的关键,而脾胃又是决定元气虚实的关键。即脾胃是元气之本,元气是健康之本。脾胃伤,则元气衰;元气衰,则疾病生。心、肺、肝、肾
养生篇 |
武侠小说宗师梁羽生的养生妙招
第一妙招:风趣幽默 梁羽生是个热情风趣的人,由于他极富幽默感,总是在无意时逗人发笑,因此是朋友圈中的“开心果”。 有一年,尚未结婚的梁羽生出于好奇心,去请一位据说非常灵验的相学家算命,回来后对朋友们说,算得准极了。朋友问怎么个准法,梁羽生一本正经地答道:“有两件事可以证实。第一件,他说我和女朋友吵过嘴;第二件,他说我适宜在外发展,离开家乡越远越好。”朋友们一听,都笑了起来:“第一件,男女吵嘴闹
养生篇 |
养颜益寿舌功七式
祖国医学认为,舌与脏腑密切相关。舌尖属心,舌边属脾,舌根属。肾,舌两旁属肝脏,舌中心属胃。中医的“舌诊”,就是通过观察舌体各部分的变化,诊断相应内脏的病变情况。因此,经常活动舌头,能刺激唾液腺分泌,改善脾胃消化、吸收功能,还能祛除口干、口苦、口臭,有利于老年人慢病恢复和免疫力的提高,能够延缓衰老、养颜延寿。 中医学将运动舌头称为“搅海”,搅海可促进唾液分泌,改善脾胃功能。做法非常简单,将舌头在口
养生篇 |
张嘴闭嘴强身健脑
张嘴运动是一种简便易行的强身健脑法,尤其适合中老年人练习。每天早晨起床后到空气新鲜的地方,将嘴巴最大限度地张开,向外哈一口气后再闭合起来。这样有节奏地一张一合,连续100下左右,直到感觉面部微微发热为止,所用时间为两三分钟。此法简便易行,强身健脑效果很好。 1.张嘴与闭嘴,能使面部肌肉有节奏地运动,使面部显得饱满,防止中老年人面肌萎缩形成的“猴尖脸”,有利于练习者的面容健美。 2.张嘴时向外哈
养生篇 |
驻颜遐龄服花椒
花椒以四川产者为佳,实大、色红、味香,又称蜀椒或川椒。花椒果皮不仅是辛辣味香料的主要原料,还是一味驻颜遐龄的良药。 花椒的益寿保健作用,历代本草均有论述。如《神农本草经》载:“花椒,久服轻身好颜色,耐老增年通神。”《药性论》记载,花椒“治遍身四肢顽痹,口齿浮肿摇动,主生发”。《名医别录》言其“久服通血脉,坚齿发,明目”。《本草纲目》亦云:“散寒除湿,解郁结,消宿食,通三焦,温脾胃,补右肾命门。”
养生篇 |
织帽速度不输年轻人的百岁老太太
爱干净,勤洗澡,身心愉悦 颜桂英老人喜欢用毛巾焐脸,每天早晨洗脸花费的时间特别长。洗脸后就是长时间地梳头,把头发梳得整整齐齐,一丝不乱。 老人原先单独住在二楼的一间房间中,近来才将床铺搬到一楼,以方便生活。笔者看到,老人干净的床单没有一点褶皱的痕迹,被子整整齐齐地叠在床的另一边。屋内的摆设虽然有点“古”,但却收拾得井然有序。老人至今生活能够自理,不用儿女操心,平时还能帮助儿女做很多家务事。
医患健康桥 |
急慢性胃炎的单验方
单方验方治疗 1.枸杞子烘干粉碎,每日20克,分两次空腹嚼服,2个月为1个疗程。功能养阴补血,滋补肝肾。 2.三七粉,每次取3克,加适量蜂蜜拌匀,空腹吞服,早晚各1次。功能活血化瘀止血。适用于胃络瘀阻之慢性胃炎。 其他可试用的单方,如向日葵花盘1个,焙干,煎服,每日3次;焦山楂15克,延胡索9克,香附子12克,水煎服;鸡内金10克,香橼皮10克,共研细末,每服1~2克;莱菔子15克,水煎,送
医患健康桥 |
南沙参药用趣谈
1.阴虚劳嗽,肺燥或肺热咳嗽 南沙参既滋阴润肺,又清肺祛痰,为清润之品。治阴虚劳嗽,日久伤阴,证见干咳无痰或少痰,或痰中带血丝,潮热盗汗,等,常与养阴润肺、止咳之品配伍,如用南沙参9克,石斛15克,玉竹、麦冬各12克,水煎服。 治燥邪犯肺,干咳少痰或痰黏而少,兼见身热、微恶风者,常配伍清宣润肺之品。如《温病条辨》中的桑杏汤,与桑叶、浙贝母、杏仁等同用;或慢性气管炎,咳嗽,痰不易咳出,口干,
医患健康桥 |
蜂蜜治呼吸病效验方
感冒 1.蜂蜜5克,蒸馏水50毫升。将蜂蜜加入蒸馏水调匀,装入喷雾器,待蜂蜜水溶后,让病人雾化吸入。每次5分钟,连用10~15次。 2.蜂蜜250克,金银花30克,山楂10克。将金银花、山楂放入砂锅内,加水置旺火上煮沸3~5分钟,把药液倒人小搪瓷盆内;再加水煎1次,滤出药液。将两次药液合并,放入蜂蜜搅匀,早晚分服。适用于风寒感冒、发热头痛、口渴等。 3.蜂蜜30克,鲜姜20克。鲜姜切片,加水
医患健康桥 |
补气用对参 调补益吾身
专家点评 在大家心目中,人参、西洋参是补气的,气虚都可服用。其实,这两种参虽同属五加科植物,但药效和适用对象却并不相同。 “土著”人参与“舶来品”西洋参 人参属中国传统补益药,有大补元气、益气生津、安神益智的功效,适用对象是气虚患者。主要表现是少气懒言、语声低微、疲倦乏力、常自汗出、动则尤甚、舌淡脉弱等。中医认为五脏都可有气虚表现,如脾气虚会神疲食少、腹胀便溏;肺气虚可引起短期喘促;心气虚则
医患健康桥 |
您是否陷入了口腔健康的4大误区
误区一:牙不疼不需要看医生 临床上所说的口腔健康指没有口腔颌面部疼痛、口腔溃疡、先天性缺陷(唇腭裂)、牙周疾病、龋病以及牙齿缺失等,是一种理想状态。从我国口腔健康的普及情况来看,整体健康水平呈现上升趋势,但是与发达国家相比还具有很大差异。主要表现在人们并没有将口腔疾病纳入健康管理中。人们在进行体检的时候也很少关注口腔疾病。 另外,人们的牙齿和牙周十分容易出现一些不适症状,例如牙龈出血、有恶臭等
医患健康桥 |
传说中的结核病离你有多远
作者按 我国有句老话叫“十痨九死”。所谓“痨病”,就是肺结核。在医学不发达时,一旦遭受“痨病”之苦,就好比被下了死亡通知书。因而,人们对结核病避而远之,唯恐被传染性。过去,人们把肺结核称为“白色瘟疫”,也说明了结核病的可怕。事实上,结核病并不像想象中那么可怕,重要的是科学对待、正确预防。1995年底,世界卫生组织将每年的3月24日定为世界防治结核病日,2021年的3月24日是第26个世界结核病日
医患健康桥 |
口服药物喝水有讲究
水和止咳糖浆相克吗? 火火哩慢慢 春节假期里,贪吃的孩子如遇“大赦”,瓜子、薯片、糖果、饮料……零食敞开吃,没放纵几天就咳嗽了。医生开了几样药,饭前的、饭后的,特别是止咳糖浆,特意交代服药后5分钟内不要喝水。水不是“万能灵药”吗?嗓子干,多喝水,感冒了,多喝水:痛经,多喝热水……水居然和止咳糖浆相克了?这是什么道理? 赞(96) 转发(35) 收藏(70) 评论(98) 私信(6) 缘分的
医患健康桥 |
第26个世界防治结核病日
一、我国结核病流行现状 结核病是一种经呼吸道传播的慢性传染病,近年来,由于多发耐药结核,结核菌与艾滋病毒的双重感染和流动人口增多,结核病疫情出现回升,严重危害着广大人民群众的身体健康,已成为重大的公共卫生问题和社会问题。我国是世界上22个结核病高负担国家之一,结核病患者数量居世界第二位,严重制约我国经济和社会的发展。 我国结核病的六大特点:①感染人数多;②患病人数多;③新发患者多;④死亡人数多
医患健康桥 |
便秘腹泻交替对胃肠道有很大伤害吗
河南安阳读者张某来电说:我今年62岁,经常出现便秘一段时间后又进入腹泻状态。起初我觉得,便秘后拉一下肚子也许更能清肠胃,于是几年都没有理会。但最近有朋友说便秘腹泻交替对胃肠道有很大伤害,请问是这样吗? 答张某读者: 老年人出现便秘与腹泻交替的情况,应该首先排除器质性病变。患者需要观察自己是否存在“报警”信号,如体重明显下降、贫血、便血或大便潜血等。如出现报警信号,很大程度上提示肿瘤或溃疡的存在
医患健康桥 |
“红酒护心脏”不可信
网站读者春回大地留言说:“常听人说,每天一杯红酒可以保护血管,预防心脏病,还可缓解心血管疾病的症状。”红酒不再是传统意义的酒精饮品,既可以满足小酌欲望,还能保护心脏,真是一举两得呀!事实的真相果真如此吗? 答春回大地: 其实,红酒能够保护心脏的说法是没有科学依据的;红酒能软化血管更是无稽之谈。以上说法来源于2003年美国哈佛大学的一项研究结论,研究者认为红酒中的白藜芦醇有保护心脏的作用,能够延
医患健康桥 |
怎样选择假牙
山东烟台读者崔某来信说:我牙口不好,需要安装假牙,面对活动假牙、固定假牙、种植牙难以抉择.假牙有些什么类型.该如何选择呢? 答崔某读者: 随着人类年龄的增长,因为外伤、龋齿、牙周炎等原因,牙齿缺失是一个普遍现象。据统计,65岁以上的人群,牙齿缺失占77%以上。用人工的材料替代人类缺失的牙齿,在两千多年前的古人化石上就可以发现。经过漫长的演变,特别是口腔材料学的进步,假牙(义齿)修复已经十分成熟
医患健康桥 |
微信在线
**原:街头药店义诊的中医说我肾虚,要我买六味地黄丸吃,请问可以吗? 答:肾虚中医分为肾阳虚、肾阴虚、阴阳两虚、肾气虚,各自的治疗用药不同。六味地黄丸主要用于肾阴虚,主要表现为五心烦热、潮热、盗汗、腰膝酸疼、眩晕耳鸣、失眠多梦等症状。不可用于肾阳虚等证。你如果自己分辨不清,建议冉找其他中医看看,以免服错药。 《家庭医学》新浪微博及微信开通啦!您希望了解哪方面医学知识或希望专家答疑.就来@我们或